A fogpótlás elkészítése egy nagyon hosszú, nagy precizitást és sok odafigyelést igénylő feladat. Sokszor már magának a fogpótlás anyagának a kiválasztása sem egyszerű, hiszen mind a páciens igényeit, mind az anyagi lehetőségeit – még ha erről olykor szemérmesen hallgatunk is – figyelembe kell venni.
| Prettau Zirkon – egy fogtechnikai remekmű | 
A kérdést tovább árnyalja, hogy bizonyos esetekben a páciens egészségi állapota nem teszi lehetővé a választott megoldás alkalmazását, mert például fémallergiától szenved, így a fémkerámia-fogpótlást eleve ki kell zárni.
Milyen anyagokból készülhetnek fogpótlások?
Az attól függ, hogy milyen típusú fogpótlásról van szó, jön most a kézenfekvő válasz. Ez természetesen így is van, de azért fussuk át gyorsan, hogy milyen anyagokat használnak a mai modern fogászatban a hidak, koronák és kivehető műfogsorok készítéséhez.
A kivehető fogpótlások anyaga mind fém, mind pedig műanyag lehet – a fémet alapvetően az alaplemez elkészítéséhez használják a fogtechnikusok, míg a műanyag a műínyt és a fogsort adja, de akár az alaplemez is készülhet műanyagból.
A hidak, koronák lehetnek fémkerámia- vagy aranykerámia-fogpótlások, de készülhetnek teljes egészében porcelánból, valamint cirkónium-oxidból is. Mindegyik anyagnak megvannak az előnyei és hátrányai, illetve az alkalmazhatóságuk feltételei is eltérőek lehetnek.
A cirkónium-oxid a fogászatban
A cirkónium-oxid megjelenése nagy változásokat hozott a fogászatban, ugyanis a segítségével valóban élethű, az igazitól szinte megkülönböztethetetlen fogpótlásokat készíthetnek a szakemberek.
Ezt többek között annak a tulajdonságának köszönheti, hogy jó áttetszőséggel rendelkezik, csakúgy, mint az igazi fogak.
A cirkónium egy kémiai folyamat: eredménye, aminek az alapja a cirkónium homok, valamint a részben stabilizált ittrium, és egy speciális mechanikai eljárással készül.
Mivel a cirkónium-oxid rendelkezik a legmagasabb hajlító- és szakítószilárdsággal a fogászati anyagok között, ezért különösen alkalmas fogpótlások készítésére.
Az cirkon magas keménysége miatt hosszú élettartamot várhatunk a belőle készült fogművektől, hiszen jóval ellenállóbb a fogászatban használt egyéb anyagoknál.
Az is mellette szól, hogy a cirkon fogpótlások nem tartalmaznak fémet, így ez a megoldás olyan pácienseknél is biztonsággal alkalmazható, akik egyébként allergiásak valamely, a fémkerámia-fogpótlásokban megtalálható fémre.
Prettau Zirkon, egy lépéssel tovább
A fogászat terén a fejlődés folyamatos és megállíthatatlan – nem csupán az eljárásokban és az anyagokban, de abban a technológiában is, amivel ezeket a modern anyagokat megmunkálják.
A cirkon megjelenése már önmagában forradalmasította a fogpótlások készítését, a Prettau Zirkon azonban még egy lépéssel tovább ment, a használatával ugyanis olyan fogpótlások készítésére nyílik lehetőség, amik nem csak hogy fémmentesek, de a kerámiát is fölöslegessé teszik.
A Prettau Zirkon tulajdonképpen a hagyományosnak tekinthető cirkon egy olyan továbbfejlesztett változata, ami sokkal szélesebb felhasználást tesz lehetővé.
Jól alkalmazható például olyan esetekben, amikor kevés hely áll rendelkezésre az új pótlás elkészítéséhez, valamint a fogcsikorgatás és a kerámia lepattogzásának veszélye is indokolhatja a Prettau Zirkon használatát.
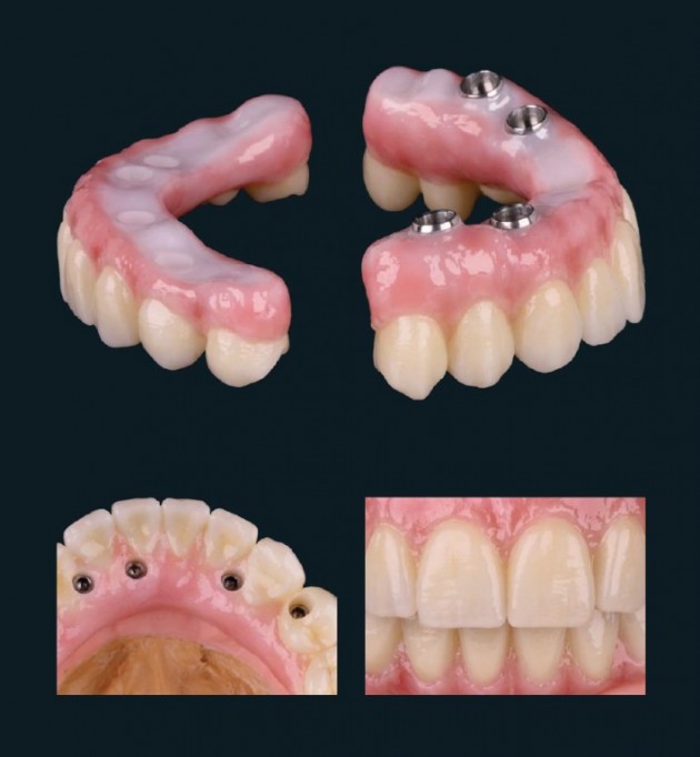
Ezenkívül a Prettau Zirkon javasolt akkor is, ha implantátumokkal történik meg a fogpótlás, valamint, ha fogíny rekonstrukció történt a páciensnél.
A Prettau Zirkon tulajdonságai
A Prettau Zirkon több olyan előnyös tulajdonsággal is rendelkezik, ami miatt ez az anyag a tökéletes választás a fogpótlásokhoz, legyenek azok hidak, vagy éppen koronák.
A Prettau Zirkon egyik nagy előnye az áttetszősége, ami miatt a belőle készült fogpótlásoknál nincs élethűbb a fogászatban. Ezt az áttetszőséget az optimalizált mikroszerkezetű cirkóniumnak köszönheti az anyag.
Mivel a kerámiát teljes mértékben mellőzhetjük a Prettau Zirkon tömbökből készülő fogpótlásoknál, az így elkészített fogmű akár 200%-kal is nagyobb ellenállású lehet.
Így nem pattog le, és attól sem kell tartanunk, hogy eltörik, hiszen az egész fogpótlás anyaga a nagy hajlítószilárdságú és masszív szerkezetű cirkon lesz.
A Prettau Zirkon előnye továbbá, hogy nem porózus; ezen tulajdonsága, valamint a nagy szilárdsága a garancia arra, hogy a belőle készült fogpótlás nem kopik, vagyis egy egész életen át elkísérheti és elégedettséggel töltheti el a pácienseket.
Hogyan történik a Prettau Zirkon anyagból készülő fogpótlások megmunkálása?
A Prettau Zirkon anyagból kivitelezett fogpótlások CAD/CAM eljárással készülnek, vagyis a számítógép vezérelte tervezést a számítógép vezérelte gyártás követi.
A rendkívül precíz eljárásnak és kivitelezésnek köszönhetően a CAD/CAM technológiával „gyártott” fogpótlások illeszkedése tökéletes, hogy a páciens mosolya valóban ragyogó, a fogsor viselése pedig a lehető legkényelmesebb legyen.
Maga az eljárás egy bizonyos pontig megegyezik a hagyományos cirkonnál alkalmazott módszerrel – mind a modellezés, mind pedig a marás hasonlóan történik.
Ezt a fázist azonban egy speciális színezékkel történő színezés, majd az égetés követi, ami egy speciális programmal történik meg. Ennek az új technológiának köszönhetően a fogtechnikusnak tehát már nem a rétegezés, hanem a színezés jelenti majd a kihívást, hisz a rágófelületet ezentúl nem kell kerámiából rétegezni, egyszerűen csak le kell másolni a tökéletesen modellezett fogat.
Prettau Zirkon a Gelencsér Dentalnál
2016. februárjától – fogászatunk páciensei is élvezhetik a Prettau Zirkon minden előnyét.
Ez a rendkívüli módon biokompatibilis, esztétikus és természetes megjelenésű teljes cirkon fogpótlás garantálja minden esetben, hogy az Ön mosolya is 100%-ban tökéletes legyen!
 
			
			
			
		
			Dr. Kalman Gelencser
		
		
			Gelencsér Dental Zahnklinik Ungarn
		
			
				 
				
				
			
		
	 
				
				
			Tetszett a cikk? Ajánlja tovább ismerősének!
Cikk  nyomtatása
Kérdése van? Írjon nekünk!
	
Utolsó módosítás: 2019. Április 17.








