Minden fogászati beavatkozás sikerességét meghatározza az, hogy az adott problémát miképp diagnosztizálták, és hogy a fogorvosok a kezelési terv során mennyire tudtak támaszkodni a páciens állapotát bemutató információkra.
A tökéletes diagnosztika: Mi a 3D CT titka? |
Egy pontos kép segítségével megtervezhető egy implantálás; detektálható egy rejtett szuvasodás vagy a fizikális vizsgálat során nem látható betegség; és nem utolsósorban az elemzés során összességében is láthatóak a szájüregi képletek.
A jó diagnózis nemcsak pontos, precíz tervezést eredményez, hanem alaposságot és biztonságot is. Márpedig a modern fogászatoknak mindegyikre szüksége van ahhoz, hogy a páciens érdekében a maximumot ki tudják hozni a munkájukból.
Mi a 3D CT előnye?
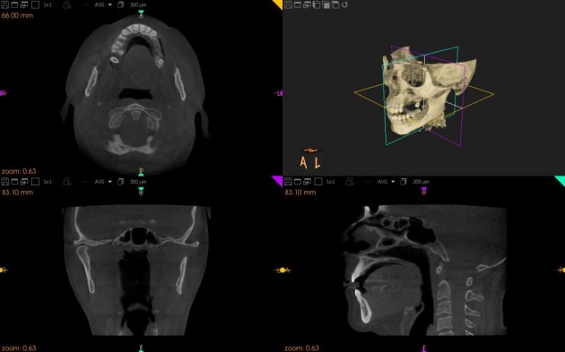
A legtöbb modern fogászati rendelő a hagyományos röntgengépek mellett ma már úgynevezett 3D CT-t is használ a diagnózis során.
A tizedmilliméteres pontossággal dolgozó eszköz három dimenzióban képes megmutatni az állkapocs szerkezetét, és egyedülálló lehetőségeket kínál a fogorvosoknak.
Fogorvosok még soha nem tudtak ennyire pontosan és precízen dolgozni, hiszen a géppel olyan problémák is láthatóak, amelyek korábban a hagyományos röntgen tekintete elől is el tudtak bújni.
A 3D CT-vel világosan megállapítható, hogy milyen vastag és milyen sűrűségű az adott területen a csontszerkezet, valamint jól láthatóak a környező anatómiai képletek pontos lefutásai is, ezért szinte minden esetben hasznosabb, mint az intraorális vagy a panorámaröntgen.
Ugyanakkor nem csak a műgyökér beültetése előtt fontos, hogy tisztán lássanak a szakorvosok: az implantálás mellett rendkívül hasznos lehet a számítógépes tomográfia a fogágybetegségek diagnosztizálásakor is, sőt, a fogszuvasodások kiterjedésének megállapításakor is.
Miközben egy panorámaröntgen-képet csak két dimenzióban látunk, addig a 3D CT-vel váltogathatjuk a szeleteket, és oldalról is megnézhetjük, hogy a páciens milyen egészségügyi állapotban érkezett meg a klinikára; ha például a csont túl vékony az implantáláshoz, vagy egy kiterjedt cisztát állapítanak meg az érintett területen, akkor a műgyökér beültetését már nem lehet elvégezni.
A minőségi szolgáltatást nyújtó, biztonságos kezelést igénylő fogászatok ezért ma már nem tudnak létezni 3D CT segítsége nélkül, és garanciákat csak akkor mernek vállalni az ott készült fogászati beavatkozásokra, ha egy ilyen fejlett eszköz biztosítja a hátteret.
Az implantálás mellett mikor alkalmazható még a 3D CT?
Az már világos, hogy implantáláskor nem pusztán javasolt, hanem már-már szükséges a 3D CT használata, azonban a képalkotó berendezés a hagyományos fogpótlási eljárásoknál is hasznos segítséget adhat.
Fogászati góckutatásban a 3D CT elengedhetetlen és ugyanakkor a legalkalmasabb eszköz a fogak gyökerei között kialakult olyan kóros elváltozások biztos diagnosztizálására, melyek például hajhullást vagy test szerte több ízületre kiterjedő ízületi gyulladást okoznak. A hagyományos röntgentechnológiával ezek nem, vagy csak esetlegesen lehetne felderíteni, mivel a röntgenfelvételen a kóros elváltozás képét a fog gyökere(i) eltakarják.
Korona vagy híd alkalmazása előtt a fogorvos szintén kérhet 3D CT-t, különösen akkor, ha a páciens parodontológiai betegségben szenved. Ilyenkor a kétdimenziós felvételen számos releváns információ rejtve maradhat, ennek pedig súlyos következményei lehetnek. Ilyen például az is, hogy a költséges pótlás rövid időn belül a fogakkal együtt kieshet a szájból.
Ajánlott a 3D CT használata akkor is, ha komolyabbnak tűnő bölcsességfog-húzás előtt áll az orvos, hiszen az arcüreg vagy ideg érintettsége esetén jobb, ha mindenki fel tud készülni az esetleges nehézségekre.
A 3D CT-felvétel készítése teljesen biztonságos és fájdalommentes, és az egész folyamat csak perceket vesz igénybe. A pácienseket alig éri sugárterhelés, az elkészített kép pedig akár CD-re is kiírható.
Dr. Kalman Gelencser
Gelencsér Dental Zahnklinik Ungarn
Tetszett a cikk? Ajánlja tovább ismerősének!
Cikk nyomtatása
Kérdése van? Írjon nekünk!
Utolsó módosítás: 2017. Szeptember 27.



