Mindenki vágyik a szép és egészséges mosolyra, de sokan elégedetlenek azzal, amit a tükörben látnak. Gyakori, hogy nem is fogaink formájával vagy színével, hanem ínyünk állapotával van gondunk.
Hogyan akadályozhatom meg a fogíny visszahúzódását? | 
Zavar, hogy a lágyszövetünk visszahúzódik, mintha csak elsorvadt volna az évek során. Kellemetlen, ha érzékenységet vagy vérzést tapasztalunk, és rossz látni, hogy a korábban szép, rózsaszín íny most már inkább vöröses és duzzadt.
Vajon ez természetes az életkor előrehaladtával, vagy tehetünk ellene valamit? Nyugodjunk bele, ha ínyproblémákkal küzdünk, vagy kérhetünk erre profi segítséget?
A válasz egyszerű: az ehhez hasonló tünetek észlelése után mielőbb forduljunk fogorvoshoz, mert a probléma nemcsak kezelhető, de időben gyógyítva elejét vehetjük egy sor későbbi problémának.
Az ínybetegségek ugyanis szakszerű segítség nélkül nemcsak a szép mosolyra vannak kihatással, de akár fogaink egészségét is veszélyeztetik.
Miért olyan fontos az egészséges íny?
A fogíny az állcsontunkat és a fogainkat fedő lágyszövet,amely nemcsak az esztétikumért felel, de fontos védelmi funkciója is van.
Nyugodtan mondhatjuk, hogy egyike az első védelmi vonalaknak, hiszen megóvja rágószerveink szépségét és egészségét.
A rágáshoz alkalmazkodott, csontunkhoz szorosan tapadó íny védi a fognyakat és a fogágyat, valamint biztosítja a fogak rögzülését.
Csakhogy hiába áll ellen a mechanikai erőknek, mégis érzékeny bizonyos külső behatásokra.
A Gelencsér Dental fogorvosai mindig kihangsúlyozzák, hogy ha valaki egészséges fogazatot szeretne, annak az ínyére is gondolnia kell.
Ha ugyanis elhanyagoljuk fogínyünket, akkor fogágyunk védtelenné válik, és az esztétikai hiányosság mellett számolnunk kell azzal, hogy rágószervünk is veszélybe kerül.
Hogy miért?
Érdemes megismerni az igazságot!
Mitől húzódhat vissza az ínyem?
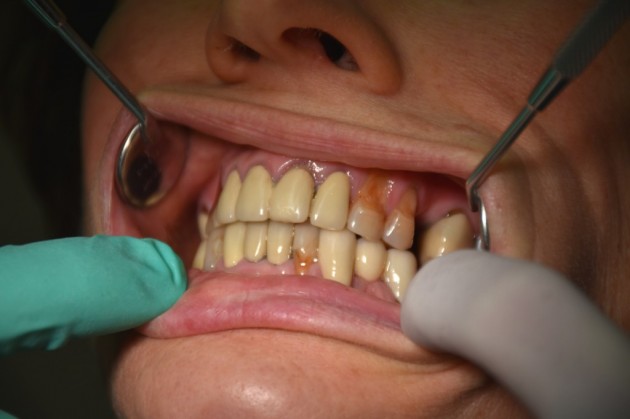
Ínyrecessziónak nevezzük, amikor a fogainkat és csontunkat fedő lágyszövet visszább húzódik vagy lekopik. Láthatóvá válik a fognyak, és probléma nemcsak esztétikai jellegű, hiszen az íny már nem tudja megvédeni ezt a területet.
Az ínyrecessziónak viszonylag látványos a tünete (a páciens látja a tükörben a változást), és a visszahúzódás a fog érzékenységével kezdődik. Legtöbbször a szemfognál vesszük észre, hogy az mintha egy picivel hosszabb lenne, pedig ez valójában csupán egy optikai csalódás, amit az okoz, hogy a fogat ekkor már kevesebb ínyszövet borítja.
A fogíny visszahúzódását általában a helytelen fogmosási technika és a nem megfelelő szájhigiénia váltja ki, de okozhatja még a hormonális változás (leginkább nőknél) és a genetikai adottság.
Bizonyos esetekben még kiválthatja a rossz harapás, valamint a nyelv- és ajakpiercing használata is.
Mielőtt bemutatnánk azt a 4 fájdalommentes és egyszerű lépést, amivel az ínyrecesszió kezelhető vagy megelőzhető, ismerjük meg az egyik legnagyobb veszélyt, amely fogínyünkre leselkedik.
Az egészséges és szép íny ellensége: a gingivitisz
Gingivitisznek, vagyis fogínygyulladásnak nevezzük azt a betegséget, amikor a lágyrész egy fertőzés miatt begyullad.
Bár kiválthatja a problémát bizonyos gyógyszerek szedése, a stressz, a vitaminmentes táplálkozás vagy épp a dohányzás, az esetek többségében nkább a rossz szájhigiéniát, valamint az emiatt kialakuló fogkövet okolhatjuk.
A fogaink felszínén megtelepedő meszes lepedék csak egy speciális orvosi eszközzel távolítható el, tehát az otthoni eszközökkel (fogkefe, fogselyem) hiába kísérletezünk.
A fogorvosi rendelőkben használt ultrahangos depurátorok korszerű és biztonságos berendezések, amelyek csupán minimális érzékenységet okoznak a kezelés során.
A fogkő eltávolítására 6-12 havonta érdemes sort keríteni, függően attól, hogy milyen gyakran alakul ki. Ha ezt elodázzuk, akkor a meszes lepedék irritálni kezdi fogínyünket, amely a fogkőben található kórokozók miatt begyullad.
A gyulladást korai stádiumban még viszonylag egyszerű gyógyítani, kezelés nélkül viszont a gingivitisz fogágygyulladáshoz vezet. A fogkő ilyenkor behatol a fogágyba, ahol lebontja a rágószerveinket tartó képleteket, aminek hatására fogaink kilazulnak, majd később ki is esnek.
A beteg íny 5 legfontosabb tünete:
- vérzés,
 - duzzadt állapot,
 - sötétebb, vörösebb szín (az egészséges halvány rózsaszín helyett),
 - érzékenység (érintésre),
 - kellemetlen lehelet.
 
Időben felismerve a betegséget az íny egészsége és szépsége egyszerűen visszaállítható, ráadásul nem kell félnünk az egyéb következményektől sem. Merthogy a fogkő és az ínybetegségek nemcsak a fogainkat veszélyeztetik.
Kutatások bizonyítják, hogy a gyulladás miatt a kórokozók bekerülhetnek a véráramba, majd később szív- és érrendszeri betegségeket, cukorbetegséget, csontritkulást, valamint stroke-ot is okozhatnak.
Miért kockáztatnánk, ha a probléma az elején még gyorsan, kényelmetlenségek nélkül és biztonságosan kezelhető?
Mit tehetek az ínyrecesszió ellen?
Az íny visszahúzódása ellen a megelőzéssel és egy – napjainkban már – rutinszerűnek számító kezeléssel vehetjük fel a küzdelmet.
A megelőzés akkor kap kiemelt szerepet, ha a problémát
- a helytelen fogmosási technika,
 - a rossz szájhigiénia,
 - a genetika
 - vagy a piercing használata okozza.
 
Ez utóbbira a leghasznosabb tanács az, hogy gondolkodás nélkül el kell hagyni, mielőtt az súlyosabb szövődményeket okozna.
A hatékony és biztonságos kezelési lehetőség akkor segíthet, ha a háttérben - a fentiek mellett -
- bizonyos hormonális problémák,
 - valamint a rossz harapás áll,
 
és az ínyt már csak egy kisebb plasztikai beavatkozással tehetjük ismét esztétikussá.
A rossz harapásnál viszont gondoskodni kell arról, hogy a fennálló probléma alapját is megszüntessük, hiszen a fogak helytelen állása miatt ínyünket és csontunkat a későbbiekben is érhetik olyan erőhatások, amelyek miatt a lágyszövet visszahúzódik.
Ismerjük meg azt a 4 dolgot, amikkel hatékonyan felvehetjük a versenyt az íny visszahúzódása ellen:
1. Megfelelő szájhigiénia, megfelelő eszközök használata
A szájápolás csak akkor lehet eredményes, ha
- megfelelő mennyiségben
 - és megfelelő technikával történik.
 
Az íny visszahúzódását ugyanis nem pusztán az okozza, hogy a hiányos szájhigiénia miatt fogkő és gyulladás alakul ki, hanem az is, hogy rossz módszerrel próbáljuk meg fogainkat megtisztítani.
A túl erős és vízszintes irányú sikálás ugyanis mechanikus traumát okoz ínyünknek, amely ennek hatására sorvadni kezd.
Aggodalomra viszont semmi ok, a helyes technika gond nélkül megtanulható. A Bass-technikának hívott módszernél a következőkre kell figyelnünk:
1. Helyezzük a fogkefét félig az ínyre, félig a fogra.
2. A fogkefe feje 45 fokos szöget zárjon be a fog felszínével.
3. Vízszintes sikálás helyett gyengéd körkörös mozdulatokat végezzünk.
4. Ezt 15-20-szor ismételjük meg az adott területen, majd haladjunk tovább.
Tévhit, hogy minél erősebben mossuk meg fogainkat, azok annál tisztábbak lesznek, hiszen egy puha sörtéjű fogkefe esetében már a lágy mozdulatokkal is megtisztítható a fog koronai része, sőt, még a fogak közötti területre is be tudunk jutni.
Hogy ez utóbbi tökéletes eredményt hozzon, használjunk fogselymet is, de azt is csak óvatosan. Itt sem az agresszív sikálás a lényeg! A fogselymet óvatosan nyomjuk be a fogközökbe, majd egy gyengédebb kaparó mozdulattal takarítsuk ki onnan az ételmaradékokat.
Amikor ezzel megvagyunk, akkor már csak a mennyiségre kell ügyelnünk. A napi kétszeri fogmosást és az egyszeri fogselymezést tekinthetjük alapnak, ezt még legfeljebb egy ebéd utáni fogmosással érdemes megtoldani.
A hatékony fogmosás 2-3 percig tart, de az csak akkor lehet eredményes, ha alapos és aprólékos.
2. Rendszeres kontroll
...és ha szükséges, akkor a szükséges fogászati kezelések elvégzése.
A rendszeres kontroll fontosságára sokszor felhívjuk mi is a figyelmet, hiszen anélkül nem fedezhetők fel időben az esetleges fogászati problémák.
Márpedig, ahogy fentebb is írtuk, az ínygyulladást annak kezdeti stádiumában eredményesen és kellemetlenségek nélkül kezelhetjük, elhanyagolva viszont már fogaink egészségét kockáztatjuk.
A kontroll során a fogorvos fizikális vizsgálattal és a képalkotó eljárások segítségével leellenőrzi a páciens állapotát, majd ha szükséges, elvégzi a kezeléseket is:
- az esztétikus tömést,
 - a gyökérkezelést,
 - vagy épp a fogkő-eltávolítást.
 
A rossz harapás, a fogínygyulladás (és fogágybetegség) vagy az éjszakai csikorgatás ellen is fel kell venni a küzdelmet, de ezekre egy korszerű fogászat szerencsére teljes mértékben készen áll.
3. Megfelelő étrend, egészséges életmód
Hajlamosak vagyunk elfelejteni, hogy az ínyrecesszió ellen akkor is sokat tehetünk, ha odafigyelünk az életmódunkra.
Ez természetesen nem az állandó koplalást, vagy néhány finomság megvonását jelenti, hanem a kiegyensúlyozottságot és a mértékletességet.
Az íny visszahúzódását ugyanis okozhatja a vitaminszegény, rendszertelen táplálkozás, valamint a túlzott alkoholfogyasztás és a dohányzás. A cukorban gazdag étrend pedig általános nem tesz jót nekünk.
Gondoskodjunk arról, hogy szervezetünk mindig hozzájusson a megfelelő vitaminokhoz és ásványi anyagokhoz, valamint hagyjuk el a dohányzást, amely fogainkra is komoly veszélyt jelent.
4. Műtét: ínyplasztika
Abban az esetben, ha az íny visszahúzódása látványos, és a megelőzés már nem segít, akkor sebészi úton kell visszaállítani az eredeti állapotot.
Az ínyplasztika egy kíméletes fogászati megoldás, amelyhez a hatékonyság és a fájdalommentesség érdekében nagy pontosságú fogászati lézert használunk.
A lágyrész esztétikai kezelése rutineljárásnak számít, a lézer előnyei pedig sokrétűek:
- nem hagy nyomot és nem okoz vérzést,
 - nem szükséges injekció használata (hiszen anélkül is fájdalommentes),
 - gyors sebgyógyulás érhető el vele,
 - minimálisra csökken egy esetleges felülfertőződés esélye,
 - stresszmentes beavatkozást biztosít.
 
A Gelencsér Dental a legkorszerűbb fogászati eszközparkot használja az ínyrecesszió ellen, és a fogorvosok minden esetben kihangsúlyozzák a megelőzés fontosságát.
Hitvallásunknak tartjuk, hogy nincs olyan probléma, amelyre ne lehetne kíméletes és eredményes megoldást találni.
			
			
			
		
			Dr. Kalman Gelencser
		
		
			Gelencsér Dental Zahnklinik Ungarn
		
			
				
				
				
			
		
	
				
				
			Tetszett a cikk? Ajánlja tovább ismerősének!
Cikk  nyomtatása
Kérdése van? Írjon nekünk!
	
Utolsó módosítás: 2019. Április 17.



