Hosszú évtizedek óta közismert tény, hogy a rossz szájhigiénia és a különböző egészségügyi problémák összefüggenek egymással; a hétköznapi ember sajnos néha elfelejti, mennyi kockázatot is vállal azzal, hogy nem figyel eléggé a megfelelő szájápolási szokásokra.
A fogkő nem játék: szív- és cukorbetegséget is okozhat |
Azt gondoljuk, hogy egy kimaradt fogmosás vagy a fogselymezés elodázása nem jelenthet nagy problémát, pedig a lepedékek megfelelő eltávolítása rendkívül fontos fogaink, ínyünk és egész szervezetünk egészsége szempontjából.
Ha ugyanis sokáig hagyjuk dolgozni a fogainkon megtapadó lepedékeket, akkor előbb-utóbb fogkő alakul ki belőlük, és akkor már csak a fogorvos segíthet rajtunk.
Mi a fogkő? Mennyire veszélyes?
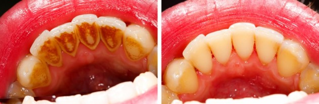
A fogkő a rágószervek felszínén megtapadó baktériumból keletkezik. Az általában a nyálkahártyát és immunrendszert védő, a szájüregben egész kis sereget összegyűjtő baktériumcsapat alapvetően segítőkész szándékkal dolgozik, viszont ha engedjük őket túlburjánzani, akkor abból komoly problémáink keletkezhetnek.
Ha ugyanis a baktériumok és az ételmaradékok nyállal keverednek a fogak felszínén, akkor kialakul a borzasztóan kemény fogkő; rosszul záródó tömések, koronák, torlódott fogak mind elősegítik a fogkő létrejöttét, amit otthoni eszközökkel már nem is tudunk eltávolítani. A fogkő eltüntetéséhez már fogorvos segítségét kell kérni, aki speciális eszközökkel szabadul meg a dentális plakknak nevezett szennyeződéstől.
A fogakon megjelenő fogkő esztétikailag sem egy szép látvány a barnás elszíneződés miatt, viszont még ennél is fontosabb, hogy a kezeletlen probléma fogínyvérzéshez és fogágygyulladáshoz vezethet, valamint a fogágy pusztulását és a fogak kilazulását okozhatja.
Következmény 1: Periodontális betegségek
A fogkő nemcsak kemény, de rendkívül agresszív jelenség is, hiszen képes utat törni magának az íny és a fog között a fogágy irányába. Ilyenkor pedig nemcsak visszahúzódik az íny és lebomlik a csont, de kialakulnak a periodontális betegségek a fogágy környékén.
A periodontális betegségek önmagukban is súlyos rombolást okoznak, és rövid távon a fogak kilazulásához, hosszú távon a fogak kihullásához vezethetnek. Ha ez nem volna elég, a fogágy körüli betegségek összefüggenek néhány súlyosabb problémával, úgymint a szívbetegséggel vagy a cukorbetegséggel.
Következmény 2: Szívbetegség és cukorbetegség
A fogorvosok és kutatók régóta gyanítják, hogy a periodontális betegségek komoly hatással vannak az emberi szervezetre, és a különböző szívbetegségek mellett cukorbetegséget, demenciát és reumás ízületi gyulladást is okozhatnak.
Köztudott az is, hogy a diabéteszesek könnyebben kaphatnak el ínyt érintő fertőzéseket, és az ilyen kockázatok miatt kiemelten fontos, hogy az érintettek folyamatos fogorvosi kontroll alatt legyenek.
Új kutatások arról is beszámolnak, hogy a fogínyproblémákkal küzdőknél gyakoribb a rosszabb eredmény a memória és a számolási teszteken.
A fogínnyel kapcsolatos tüneteket, a vérzést, a fogágybetegséget nem szabad félvállról venni; ha időben akarunk tenni a probléma ellen, akkor a megfelelő szájhigiéniával elejét vehetjük a fogkő kialakulásának.
Ha pedig már észleljük a dentális plakk jelenlétét, akkor gondoskodjunk annak szakszerű eltávolításáról.
Dr. Kalman Gelencser
Gelencsér Dental Zahnklinik Ungarn
Tetszett a cikk? Ajánlja tovább ismerősének!
Cikk nyomtatása
Kérdése van? Írjon nekünk!
Utolsó módosítás: 2017. Szeptember 20.



